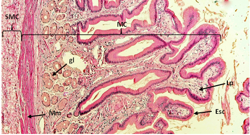
Estómago



Corte histológico de una porción de estómago de perro (Canis lupus familiaris) coloración H-E (aumento  10X). El estómago es un órgano tubular que está constituido por 4 túnicas: mucosa, submucosa, muscular del órgano y serosa. En la imagen se observa la túnica mucosa (MC) y parte de  la túnica Submucosa (SMC). En el caso de la mucosa se aprecian los siguientes elementos histológicos: epitelio simple columnar (Esc) que produce moco para proteger al órgano de las secreciones de las glándulas fúndicas (gl); por debajo del epitelio se observa la lámina propia (Lp) constituida por tejido conectivo colágeno laxo y que se observa infiltrado por una gran cantidad de glándulas fúndicas (gl), que proporcionan una secreción constituida principalmente por pepsinógeno y ácido clorhídrico. La túnica mucos se encuentra delimitada por el Muscular mucosae (Mm) que se encuentra bastante desarrollado; después del muscular mucosae se encuentra parte de la túnica submucosa (SMC), constituida por tejido conectivo colágeno laxo.